ブログ
2015年9月26日 土曜日
2015年10月限定のお知らせ
2015年 10月の限定キャンペーン
ガ ム ピ ー リ ン グ
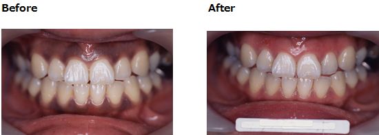
ご自分の歯肉の色は健康的なピンク色ですか?
このメラニン色素による黒ずみを綺麗なピンク色にすることで
若々しさを取り戻す事が出来ます。
歯だけではなく歯肉も美しくいたします。
大変人気の施術ですのでこの機会に是非お試し下さい。
~キャンペーン価格 30%OFF~
上または下の歯肉のみ
¥16,200 ⇒ ⇒ ¥11,340
上下の歯肉
¥27,000 ⇒ ⇒ ¥18,900


