スタッフブログ
2015年5月29日 金曜日
2015年6月限定のお知らせ
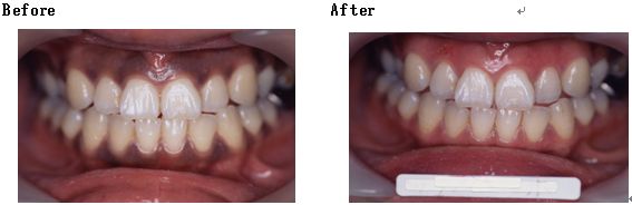
ガムピーリング
ご自分の歯肉の色は健康的なピンク色ですか?
このメラニン色素による黒ずみを綺麗なピンク色にすることで
若々しさを取り戻す事が出来ます。
歯だけではなく歯肉も美しくいたします。
大変人気の施術ですのでこの機会に是非お試し下さい。
~キャンペーン価格 30%OFF~
上または下の歯肉のみ
¥16,200 ⇒ ⇒ ¥11,340
上下の歯肉
¥27,000 ⇒ ⇒ ¥18,900
投稿者 | 記事URL
2015年5月8日 金曜日
2015年5月限定のお知らせ
笑った時キレイな口元の方は、人に好印象または若さを与えます。
ホワイトニングを希望する方は、女性はもちろんのこと男性の患者さんも大変増えています。
人と接する仕事の為、清潔感・印象をよくしたくてホワイトニングをされる方、
喫煙をする方、若く 明るい印象になりたい方etc・・・
この機会に是非ホワイトニングをはじめてみましょう!
1 ティースホワイトニング 5回コース
上の歯or下の歯
8本 ¥32,400 ⇒ ¥27,000
上下の歯
16本 ¥37,800 ⇒ ¥32,400
2 ホームホワイトニング
上下トレー、ホワイトニングジェル込み
¥43,200 ⇒ ¥21,600
≪カウンセリング 無料≫
ホワイトニングでわからない事や、歯並びをキレイにしたい、銀歯を白い詰め物に変えたい など口元のお悩みなら何でもお気軽にご相談ください。
ホワイトニングでわからない事や、歯並びをキレイにしたい、銀歯を白い詰め物に変えたい など口元のお悩みなら何でもお気軽にご相談ください。
投稿者 | 記事URL
カテゴリ一覧
- スタッフブログ (90)
最近のブログ記事
月別アーカイブ
- 2022年7月 (2)
- 2022年5月 (1)
- 2022年1月 (1)
- 2021年11月 (1)
- 2021年10月 (1)
- 2021年8月 (1)
- 2021年6月 (1)
- 2021年5月 (1)
- 2021年4月 (1)
- 2021年2月 (1)
- 2021年1月 (1)
- 2020年12月 (1)
- 2020年10月 (1)
- 2020年6月 (1)
- 2020年5月 (1)
- 2020年4月 (2)
- 2020年3月 (2)
- 2019年12月 (1)
- 2019年10月 (1)
- 2019年8月 (2)
- 2019年6月 (1)
- 2019年5月 (1)
- 2019年4月 (1)
- 2019年3月 (2)
- 2019年2月 (2)
- 2019年1月 (1)
- 2018年12月 (1)
- 2018年10月 (1)
- 2018年9月 (1)
- 2018年6月 (1)
- 2018年5月 (1)
- 2018年3月 (2)
- 2018年2月 (1)
- 2018年1月 (2)
- 2017年12月 (1)
- 2017年11月 (2)
- 2017年10月 (1)
- 2017年9月 (2)
- 2017年8月 (2)
- 2017年7月 (1)
- 2017年5月 (3)
- 2017年4月 (1)
- 2017年2月 (2)
- 2017年1月 (1)
- 2016年12月 (1)
- 2016年11月 (1)
- 2016年9月 (1)
- 2016年8月 (1)
- 2016年7月 (1)
- 2016年5月 (1)
- 2016年4月 (3)
- 2016年3月 (1)
- 2016年1月 (1)
- 2015年12月 (1)
- 2015年8月 (3)
- 2015年6月 (1)
- 2015年5月 (2)
- 2015年4月 (1)
- 2015年3月 (2)
- 2015年2月 (1)
- 2014年12月 (2)
- 2014年9月 (1)
- 2014年8月 (2)
- 2014年7月 (2)
- 2014年6月 (1)
- 2014年5月 (1)
- 2014年2月 (1)

