表参道の歯医者で歯を白くしたい方はAKIデンタルクリニックまで

当院の審美歯科治療は豊富な治療内容からお選びいただけます。

スタッフブログ

2015年8月31日 月曜日

2015年9月限定のお知らせ

2015年 9月 限定キャンペーン
ハイブリッドインレー

ハイブリッドインレーとは、奥歯などのむし歯の治療部位に金属ではなく、
残っているご自分の歯と同じ色のつめ物を入れます。
素材は、プラスチックとセラミックの間のもので、見た目も白く虫歯で削った部分なのに口を大きくあけて笑っても目立つことなくとても清潔感を与えてくれます。

金属アレルギーの心配もありません。

詰め物は他に、白金加金インレー・ゴールドインレー・セラミックインレーなどがございますので
お気軽にご相談ください。

                     
30%OFF
¥43,200  ⇒ ⇒  ¥30,240

投稿者 AKIデンタルクリニック | 記事URL

2015年8月8日 土曜日

夏期休診

8月15日から8月18日まで夏期休診とさせていただきます。

よろしくお願いいたします。

投稿者 AKIデンタルクリニック | 記事URL

2015年8月1日 土曜日

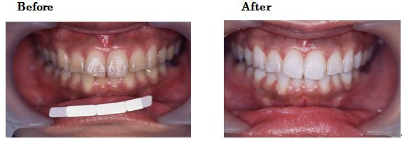
2015年8月の限定のお知らせ

笑った時キレイな口元の方は、人に好印象または若さを与えます。

ホワイトニングを希望する方は、女性はもちろんのこと男性の患者さんも大変増えています。

人と接する仕事の為、清潔感・印象をよくしたくてホワイトニングをされる方、
喫煙をする方、若く 明るい印象になりたい方etc・・・

この機会に是非ホワイトニングをはじめてみましょう!

1 ティースホワイトニング 5回コース
上の歯or下の歯 
8本 ¥32,400  ⇒ ¥27,000

上下の歯    
16本 ¥37,800  ⇒ ¥32,400

2 ホームホワイトニング
上下トレー、ホワイトニングジェル込み
¥43,200  ⇒ ¥21,600

≪カウンセリング 無料≫
ホワイトニングでわからない事や、歯並びをキレイにしたい、銀歯を白い詰め物に変えたい など口元のお悩みなら何でもお気軽にご相談ください。

投稿者 AKIデンタルクリニック | 記事URL

カテゴリ一覧

AKIデンタルクリニック 綺麗な歯並び・白い歯のことならお任せください POINT 「ホームページをみた」だけでカウンセリングが無料です! お問い合わせ ご予約は 電話番号 03-3408-7060 〒107-0062 東京都港区南青山3-8-39西野ビル2F 診療時間 11:00~20:00 土曜日の診療時間は11:00~18:00 表参道駅 外苑前駅 徒歩3分