表参道の歯医者で歯を白くしたい方はAKIデンタルクリニックまで

当院の審美歯科治療は豊富な治療内容からお選びいただけます。

スタッフブログ

2017年8月1日 火曜日

2017年8月限定のお知らせ

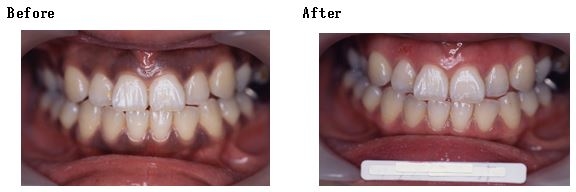
★2017年 8月の限定キャンペーン★

ガ ム ピ ー リ ン グ

ご自分の歯肉の色は健康的なピンク色ですか?
このメラニン色素による黒ずみを綺麗なピンク色にすることで
若々しさを取り戻す事が出来ます。
歯だけではなく歯肉も美しくいたします。
大変人気の施術ですのでこの機会に是非お試し下さい。

~キャンペーン価格 20%OFF
上または下の歯肉のみ ¥16,200 ⇒ ⇒  ¥12,960
上下の歯肉   ¥27,000 ⇒ ⇒  ¥21,600

 

11111111.JPG

投稿者 AKIデンタルクリニック | 記事URL

2017年8月1日 火曜日

2017年8月限定のお知らせ

★2016年 8月の限定キャンペーン★

ガ ム ピ ー リ ン グ

ご自分の歯肉の色は健康的なピンク色ですか?
このメラニン色素による黒ずみを綺麗なピンク色にすることで
若々しさを取り戻す事が出来ます。
歯だけではなく歯肉も美しくいたします。
大変人気の施術ですのでこの機会に是非お試し下さい。

~キャンペーン価格 20%OFF
上または下の歯肉のみ   ¥16,200 ⇒ ⇒  ¥12,960
       上下の歯肉   ¥27,000 ⇒ ⇒  ¥21,600


★もうすぐ本格的な夏ですね★歯肉を綺麗にして思いっきり太陽の下で素敵な笑顔に!★ 

★ご予約の際に「HPを見ました」とお伝え下さい★

投稿者 AKIデンタルクリニック | 記事URL

カテゴリ一覧

AKIデンタルクリニック 綺麗な歯並び・白い歯のことならお任せください POINT 「ホームページをみた」だけでカウンセリングが無料です! お問い合わせ ご予約は 電話番号 03-3408-7060 〒107-0062 東京都港区南青山3-8-39西野ビル2F 診療時間 11:00~20:00 土曜日の診療時間は11:00~18:00 表参道駅 外苑前駅 徒歩3分