スタッフブログ
2018年9月11日 火曜日
★2018年 9月の限定のお知らせ★
ガ ム ピ ー リ ン グ
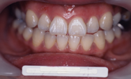
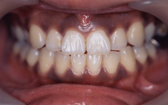
ご自分の歯肉の色は健康的なピンク色ですか?
このメラニン色素による黒ずみを綺麗なピンク色にすることで
若々しさを取り戻す事が出来ます。
歯だけではなく歯肉も美しくいたします。
大変人気の施術ですのでこの機会に是非お試し下さい。
~キャンペーン価格 20%OFF~
上または下の歯肉のみ ¥16,200 ⇒ ⇒ ¥12,960
上下の歯肉 ¥27,000 ⇒ ⇒ ¥21,600
Before After

まだまだ残暑が厳しいですね。
★歯肉を綺麗にして残暑を乗り切りましょう★
★ご予約の際に「HPを見ました」とお伝え下さい★
投稿者 | 記事URL
カテゴリ一覧
- スタッフブログ (90)
最近のブログ記事
月別アーカイブ
- 2022年7月 (2)
- 2022年5月 (1)
- 2022年1月 (1)
- 2021年11月 (1)
- 2021年10月 (1)
- 2021年8月 (1)
- 2021年6月 (1)
- 2021年5月 (1)
- 2021年4月 (1)
- 2021年2月 (1)
- 2021年1月 (1)
- 2020年12月 (1)
- 2020年10月 (1)
- 2020年6月 (1)
- 2020年5月 (1)
- 2020年4月 (2)
- 2020年3月 (2)
- 2019年12月 (1)
- 2019年10月 (1)
- 2019年8月 (2)
- 2019年6月 (1)
- 2019年5月 (1)
- 2019年4月 (1)
- 2019年3月 (2)
- 2019年2月 (2)
- 2019年1月 (1)
- 2018年12月 (1)
- 2018年10月 (1)
- 2018年9月 (1)
- 2018年6月 (1)
- 2018年5月 (1)
- 2018年3月 (2)
- 2018年2月 (1)
- 2018年1月 (2)
- 2017年12月 (1)
- 2017年11月 (2)
- 2017年10月 (1)
- 2017年9月 (2)
- 2017年8月 (2)
- 2017年7月 (1)
- 2017年5月 (3)
- 2017年4月 (1)
- 2017年2月 (2)
- 2017年1月 (1)
- 2016年12月 (1)
- 2016年11月 (1)
- 2016年9月 (1)
- 2016年8月 (1)
- 2016年7月 (1)
- 2016年5月 (1)
- 2016年4月 (3)
- 2016年3月 (1)
- 2016年1月 (1)
- 2015年12月 (1)
- 2015年8月 (3)
- 2015年6月 (1)
- 2015年5月 (2)
- 2015年4月 (1)
- 2015年3月 (2)
- 2015年2月 (1)
- 2014年12月 (2)
- 2014年9月 (1)
- 2014年8月 (2)
- 2014年7月 (2)
- 2014年6月 (1)
- 2014年5月 (1)
- 2014年2月 (1)

