表参道の歯医者で歯を白くしたい方はAKIデンタルクリニックまで

当院の審美歯科治療は豊富な治療内容からお選びいただけます。

スタッフブログ

2018年10月10日 水曜日

10月 ホワイトニングのお知らせ

★暑さも収まりすっかり秋になってきました★

笑った時キレイな口元の方は、人に好印象、清潔感・若々しい印象を与えます。 人と接するお仕事の方・喫煙される方・歯の黄ばみが気になる方・・・
この機会に是非ホワイトニングをはじめてみましょう!

ホームホワイトニングとは・・・
患者様の歯型を取り、専用のカスタムトレーを製作します。
指導内容に従い カスタムトレーにジェルを入れご自宅で好きな時間にホワイトニングができる
施術法です。
       
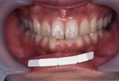
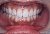
術前                               術後
            
今だけ30%OFF!!

ホームホワイトニング                         

上下トレー、ホワイトニングジェル(2週間分)付き 
¥32,400⇒ ¥22,680
             

★ご予約の際に「HPのキャンペーンを見ました」とお伝えください★

投稿者 AKIデンタルクリニック | 記事URL

カテゴリ一覧

AKIデンタルクリニック 綺麗な歯並び・白い歯のことならお任せください POINT 「ホームページをみた」だけでカウンセリングが無料です! お問い合わせ ご予約は 電話番号 03-3408-7060 〒107-0062 東京都港区南青山3-8-39西野ビル2F 診療時間 11:00~20:00 土曜日の診療時間は11:00~18:00 表参道駅 外苑前駅 徒歩3分