スタッフブログ
2019年1月11日 金曜日
1月 ホワイトニングのお知らせ
★新年あけましておめでとうございます★
笑った時キレイな口元の方は、人に好印象、清潔感・若々しい印象を与えます。 人と接するお仕事の方・喫煙される方・歯の黄ばみが気になる方・・・
この機会に是非ホワイトニングをはじめてみましょう!
ホームホワイトニングとは・・・
患者様の歯型を取り、専用のカスタムトレーを製作します。
指導内容に従い カスタムトレーにジェルを入れご自宅で好きな時間にホワイトニングができる
施術法です。
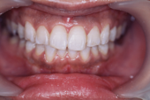
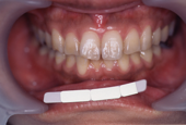
術前 術後
今だけ30%OFF!!
ホームホワイトニング
上下トレー、ホワイトニングジェル(2週間分)付き
¥32,400⇒ ¥22,680
★ご予約の際に「HPのキャンペーンを見ました」とお伝えください★
投稿者 | 記事URL
カテゴリ一覧
- スタッフブログ (90)
最近のブログ記事
月別アーカイブ
- 2022年7月 (2)
- 2022年5月 (1)
- 2022年1月 (1)
- 2021年11月 (1)
- 2021年10月 (1)
- 2021年8月 (1)
- 2021年6月 (1)
- 2021年5月 (1)
- 2021年4月 (1)
- 2021年2月 (1)
- 2021年1月 (1)
- 2020年12月 (1)
- 2020年10月 (1)
- 2020年6月 (1)
- 2020年5月 (1)
- 2020年4月 (2)
- 2020年3月 (2)
- 2019年12月 (1)
- 2019年10月 (1)
- 2019年8月 (2)
- 2019年6月 (1)
- 2019年5月 (1)
- 2019年4月 (1)
- 2019年3月 (2)
- 2019年2月 (2)
- 2019年1月 (1)
- 2018年12月 (1)
- 2018年10月 (1)
- 2018年9月 (1)
- 2018年6月 (1)
- 2018年5月 (1)
- 2018年3月 (2)
- 2018年2月 (1)
- 2018年1月 (2)
- 2017年12月 (1)
- 2017年11月 (2)
- 2017年10月 (1)
- 2017年9月 (2)
- 2017年8月 (2)
- 2017年7月 (1)
- 2017年5月 (3)
- 2017年4月 (1)
- 2017年2月 (2)
- 2017年1月 (1)
- 2016年12月 (1)
- 2016年11月 (1)
- 2016年9月 (1)
- 2016年8月 (1)
- 2016年7月 (1)
- 2016年5月 (1)
- 2016年4月 (3)
- 2016年3月 (1)
- 2016年1月 (1)
- 2015年12月 (1)
- 2015年8月 (3)
- 2015年6月 (1)
- 2015年5月 (2)
- 2015年4月 (1)
- 2015年3月 (2)
- 2015年2月 (1)
- 2014年12月 (2)
- 2014年9月 (1)
- 2014年8月 (2)
- 2014年7月 (2)
- 2014年6月 (1)
- 2014年5月 (1)
- 2014年2月 (1)

