スタッフブログ
2019年2月22日 金曜日
3月限定 ホワイトニングのお知らせ
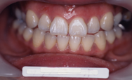
笑った時キレイな口元の方は、人に好印象、清潔感・若々しい印象を与えます。 人と接するお仕事の方・喫煙される方・歯の黄ばみが気になる方・・・
この機会に是非ホワイトニングをはじめてみましょう!
患者様の歯型を取り、専用のカスタムトレーを製作します。
指導内容に従い カスタムトレーにジェルを入れご自宅で好きな時間にホワイトニングができる
施術法です。
術前 術後
今だけ30%OFF!!
ホームホワイトニング
上下トレー、ホワイトニングジェル(2週間分)付き ¥32,400⇒ ¥22,680
2019年3月末までのキャンペーンです。お早めにご予約ください!!
投稿者 | 記事URL
2019年2月13日 水曜日
★2019年 2月の限定のお知らせ★
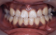
ガ ム ピ ー リ ン グ
ご自分の歯肉の色は健康的なピンク色ですか?
このメラニン色素による黒ずみを綺麗なピンク色にすることで
若々しさを取り戻す事が出来ます。
歯だけではなく歯肉も美しくいたします。
大変人気の施術ですのでこの機会に是非お試し下さい。
~キャンペーン価格 20%OFF~
上または下の歯肉のみ ¥16,200 ⇒ ⇒ ¥12,960
上下の歯肉 ¥27,000 ⇒ ⇒ ¥21,600
Before After

★大好評につき再びキャンペーン再開です★
★歯茎を綺麗に素敵な笑顔を見せましょう★
★ご予約の際に「HPを見ました」とお伝え下さい★
投稿者 | 記事URL
カテゴリ一覧
- スタッフブログ (90)
最近のブログ記事
月別アーカイブ
- 2022年7月 (2)
- 2022年5月 (1)
- 2022年1月 (1)
- 2021年11月 (1)
- 2021年10月 (1)
- 2021年8月 (1)
- 2021年6月 (1)
- 2021年5月 (1)
- 2021年4月 (1)
- 2021年2月 (1)
- 2021年1月 (1)
- 2020年12月 (1)
- 2020年10月 (1)
- 2020年6月 (1)
- 2020年5月 (1)
- 2020年4月 (2)
- 2020年3月 (2)
- 2019年12月 (1)
- 2019年10月 (1)
- 2019年8月 (2)
- 2019年6月 (1)
- 2019年5月 (1)
- 2019年4月 (1)
- 2019年3月 (2)
- 2019年2月 (2)
- 2019年1月 (1)
- 2018年12月 (1)
- 2018年10月 (1)
- 2018年9月 (1)
- 2018年6月 (1)
- 2018年5月 (1)
- 2018年3月 (2)
- 2018年2月 (1)
- 2018年1月 (2)
- 2017年12月 (1)
- 2017年11月 (2)
- 2017年10月 (1)
- 2017年9月 (2)
- 2017年8月 (2)
- 2017年7月 (1)
- 2017年5月 (3)
- 2017年4月 (1)
- 2017年2月 (2)
- 2017年1月 (1)
- 2016年12月 (1)
- 2016年11月 (1)
- 2016年9月 (1)
- 2016年8月 (1)
- 2016年7月 (1)
- 2016年5月 (1)
- 2016年4月 (3)
- 2016年3月 (1)
- 2016年1月 (1)
- 2015年12月 (1)
- 2015年8月 (3)
- 2015年6月 (1)
- 2015年5月 (2)
- 2015年4月 (1)
- 2015年3月 (2)
- 2015年2月 (1)
- 2014年12月 (2)
- 2014年9月 (1)
- 2014年8月 (2)
- 2014年7月 (2)
- 2014年6月 (1)
- 2014年5月 (1)
- 2014年2月 (1)

